症例-セラミック・インプラント

TORANOMON HILLS
Station Dental clinic

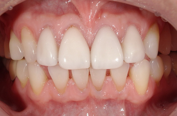
セラミック症例

30歳 女性

主訴 歯の形が気になる
内容 矮小歯(先天的に小さい歯)に対して前歯4本のセラミック治療を行なった
費用 ¥440,000
治療期間 約3ヶ月
治療回数 4回
副作用 今回は矮小歯(先天的に小さい歯)に対して前歯4本のセラミックを行いました。真ん中、中央1番目の歯の形に合わせてできるだけ自然な形になるように仮歯を作製し、形や機能的に問題ないことを患者さまと確認した上で治療を行なっています。セラミックは天然歯のような自然な美しさがあり、長期安定が望める歯にとてもいい材質ですが、定期的なメインテナンスを行わないと2次的な虫歯や破損などのトラブルが起こることもあります。

Before

After



セラミック症例

54歳 男性

主訴 下の前歯の隙間が気になる
内容 下顎の前歯6本ジルコニアクラウン装着
費用 ¥720,000
治療期間 約2ヶ月
治療回数 3回
副作用 セラミックは天然歯のような自然な美しさがあり、長期安定が望める歯にとてもいい材質ですが、定期的なメインテナンスを行わないと2次的な虫歯や破損などのトラブルが起こることもあります。また、審美的な部分の前歯などのセラミック治療では、仮歯を使用して形や機能的に問題ないことを患者さまと確認した上で治療を行なっていくため治療回数や期間がより長くかかることもあります。

Before

After



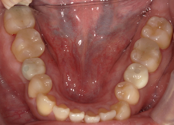
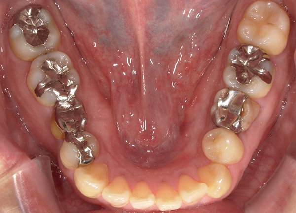
セラミック・インプラント症例

43歳 男性

主訴 銀歯を白くしたい、歯のないところはなるべく歯を削らない治療をしたい
歯にいい材料を選択したいが費用はできるだけ抑えたい
内容 インプラント2本埋入、セラミックの詰め物4本、保険適応の白い詰め物
治療の要点:インプラントは左右の5番目に入れています。大臼歯と呼ばれる奥歯は強度と審美性を兼ね備えたジルコニアセラミックの詰め物を選択しています。小臼歯と呼ばれる奥歯は強度があまりかからないため保健適用の白い詰め物を適応して費用を抑えることができます。
費用 保険外¥1,215,000(インプラント2本、セラミック3本)+保険治療
治療期間 約5ヶ月
副作用 インプラントは成功率が95%以上と高いですが必ずしも骨とうまく結合するわけではありません。残念ながら脱落してしまうこともあります。また、セラミックは長期安定が望める歯にもとても良い材質ですが、定期的なメインテナンスを行わないと2次的な虫歯や破損などのトラブルが起こることもあります。

Before

After



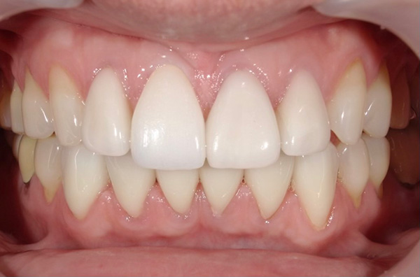
セラミック症例

46歳 女性

主訴 歯並びと歯の色が気になるけど矯正はしたくない
内容 上下前歯6本セラミックを被せることで歯並びと色調を改善
費用 ¥3,000×12本(仮歯)¥110,000×12本(ジルコニアセラミック)
合計¥1,356,000
治療期間 約4ヶ月
治療回数 8回
副作用 今回の症例で用いたジルコニアセラミッククラウンは患者様が希望された色のジルコニアブロックを削って製作しています。歯並びを改善するために歯の傾きを変える必要があるので歯を削る量が多くなることで歯の神経を抜くことがあります。また、セラミックを装着した後にしみたり痛みが出た場合、一度被せ物を外して神経を抜くことがあります。人工物であるためできる限りご希望の形態、色味を再現できるように作製しますが、人工物なのでご希望に添えないこともあります。

Before

After

After

CONTACT Toranomon hills Station Dental clinic

治療後は定期的な経過観察を 定期検診についてはこちら

CLICK HERE

虎ノ門ヒルズ駅徒歩1分の歯医者 虎ノ門ヒルズ駅前歯科
初診WEB予約はこちら

CLICK HERE