症例-インビザライン

TORANOMON HILLS
Station Dental clinic

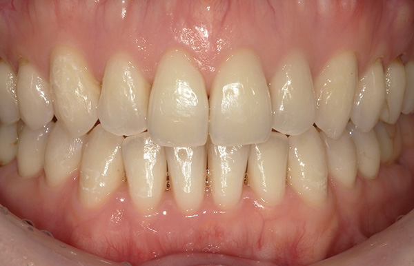
インビザライン症例

38歳 女性

主訴 歯並びをきれいにしたい
内容 長年気になられていた歯並びをインビザラインで治療した症例です。歯並びもきれいになりましたが笑った時の口元や横顔がとても美しくなりました。術前は上の前歯のがたつきと歯の軸が内側に入り込んでいた影響で上唇が少し内側に凹んでいましたが、アーチが整い唇の膨らみが出ることで横顔も綺麗になりました。
費用 ¥450,000
治療期間 約9ヶ月
副作用 1日あたりの装着時間を守らなかったり、指示通りに装着されていないと、治療期期間が長くなったり、目指した治療のゴールが到達できない場合があります。歯の動きにより歯肉退縮を起こしてしまうことがあります。

Before

After

Before

After



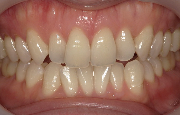
インビザライン症例

29歳 男性

主訴 すきっ歯をきれいにしたい
内容 インビザラインを用いた小臼歯(前から5番目)までの部分矯正。上顎の前歯に歯を動くスペースを確保するため最大で0.3mmやすりがけを行った。
費用 ¥450,000
治療期間 約6ヶ月
治療回数 5回
副作用 1日あたりの装着時間を守らなかったり、指示通りに装着されていないと、治療期期間が長くなったり、目指した治療のゴールが到達できない場合があります。歯の動きによっては追加のマウスピースが必要になることがあります。歯の動きにより歯肉退縮を起こしてしまうことがあります。

Before

After

CONTACT Toranomon hills Station Dental clinic

治療後は定期的な経過観察を 定期検診についてはこちら

CLICK HERE

虎ノ門ヒルズ駅徒歩1分の歯医者 虎ノ門ヒルズ駅前歯科
初診WEB予約はこちら

CLICK HERE