症例-ホワイトニング・セラミック

TORANOMON HILLS
Station Dental clinic

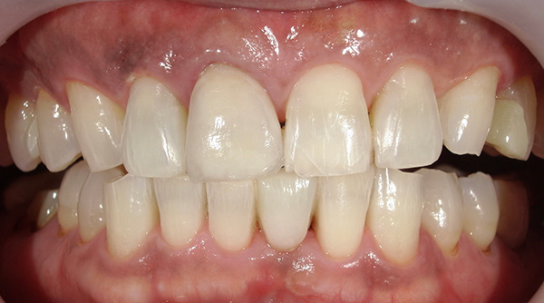
ホワイトニング症例

56歳 男性

主訴 前歯の着色と黄色味が気になる
内容 デュアルホワイトニング(オフィスとホームのセット)
費用 ¥72,000
治療期間 約2ヶ月〜3ヶ月
治療回数 1回(オフィスホワイトニング5分照射×3回)
ホームホワイトニングはご自宅で
副作用 オフィスホワイトニングは施術1回で歯の色調を明るくすることができるホワイトニング方法ですが、個人差があるため一度では期待している効果が出ない方もいらっしゃいます。ホワイトニング後は一時的に歯がしみることがあります。また、歯茎が一時的に白くなり過敏になることがあります。

Before

After




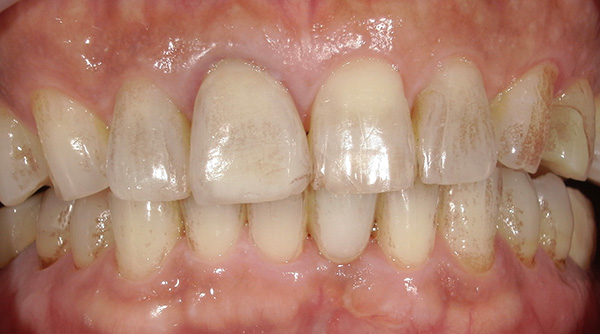
ホワイトニング・セラミック症例

45歳 男性

主訴 前歯の色が気になる
内容 オフィスホワイトニング・左上1番ジルコニアセラミック
費用 ¥43,500(オフィスホワイトニング5分×3回)
¥130,000(オーダーメイドジルコニアクラン:形態や色調を他の歯に合わせて製作)
治療期間 2ヶ月
治療回数 1回(オフィスホワイトニング)
3回(ジルコニアセラミック)
副作用 オフィスホワイトニングは施術1回で歯の色調を明るくすることができるホワイトニング方法ですが、 個人差があるため一度では期待している効果が出ない方もいらっしゃいます。ホワイトニング後は一時的に歯がしみることがあります。また、歯茎が一時的に白くなり過敏になることがあります。
ジルコニアセラミッククラウンはジルコニアセラミックの土台に陶材を焼き付けて他の歯との色調をより合わせることのできるセラミッククラウンです。人工物であるためできる限り天然の歯に合わせて作製しますが、完全に同じ色味を再現することができるわけではありません。

Before

After

CONTACT Toranomon hills Station Dental clinic

治療後は定期的な経過観察を 定期検診についてはこちら

CLICK HERE

虎ノ門ヒルズ駅徒歩1分の歯医者 虎ノ門ヒルズ駅前歯科
初診WEB予約はこちら

CLICK HERE