歯を失う原因と予防法!歯を守るために知っておきたいこと
こんにちは。東京都港区「虎ノ門ヒルズ駅」より徒歩1分にある歯医者「虎ノ門ヒルズ駅前歯科」です。

年齢を重ねるにつれて、歯を失うリスクは高まります。歯を失うと、噛む機能や発音に支障をきたすだけではなく、全身の健康や生活の質にも大きな影響を与えます。では、そもそもどうして歯を失うのでしょうか。その原因を知ることは、歯を守る第一歩です。
この記事では、歯を失う主な原因と、それを予防するための具体的な方法について詳しく解説します。歯を守るために、私たちが日常生活のなかで実践できることは何なのか、今一度考えてみましょう。
歯を失う原因

歯を失う原因にはいくつかあります。主な原因を理解することで予防につなげることができるでしょう。
歯周病
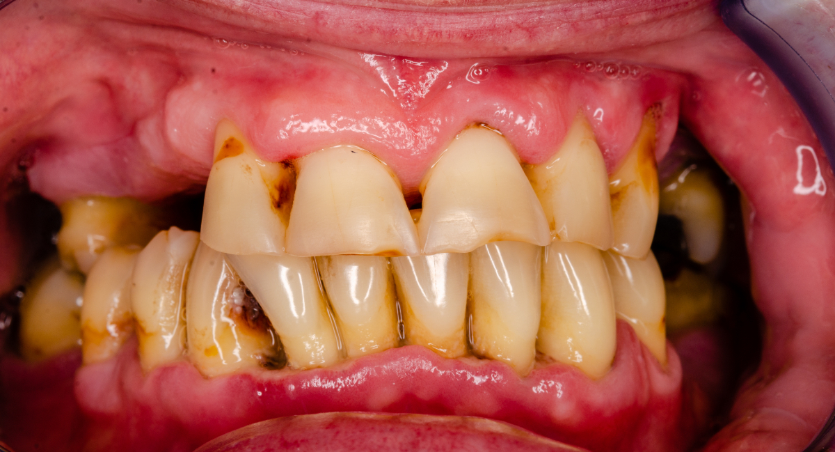
歯周病は、歯を支えている歯ぐきやあごの骨が炎症を起こし、徐々に弱っていく病気です。
初期段階では自覚症状がほとんどないため発見が遅れるケースが多く、気づいたときにはすでに進行していることも珍しくありません。歯ぐきの腫れや出血、口臭などが見られる場合は、歯周病が進行しているサインです。
進行すると歯を支える骨が溶け、最終的には歯が抜け落ちることもあります。日本人が歯を失う原因として最も多いとされており、特に中高年以降に多く見られます。
虫歯
虫歯は、歯の表面に付着したプラークに含まれる細菌が糖分を分解し、酸を出すことで歯を溶かす病気です。初期の段階では歯の表面にわずかな白い濁りが現れる程度ですが、進行すると穴が空き、やがて歯の神経にまで達することがあります。
虫歯が神経に達すると激しい痛みを伴い、治療では神経を取り除く根管治療が必要になります。さらに進行すると、歯の大部分が溶かされ、歯を残すことが難しくなるケースが多いのです。
虫歯によって歯を失うのは、若い世代にも多く見られるため、定期的に検診を受けることと早期治療が欠かせません。
歯の破折
歯の破折とは、歯が欠けたり割れたりする状態を指します。
硬いものを噛んだ際の衝撃や、転倒・事故による外傷が主な原因です。また、歯ぎしりや食いしばりの習慣がある場合、日常的な負荷が蓄積し、歯にひびが入ることもあります。神経を抜いた歯はもろくなりやすく、破折のリスクが高まります。
破折した歯には細菌が入り込みやすく、感染が進むと抜歯が必要になるケースもあります。見た目に異常がなくても、違和感があるときは早めに歯科医院で相談しましょう。
歯を失うリスク

歯を1本でも失うと、見た目の変化だけではなく、噛む力や発音、全身の健康にまでさまざまな悪影響を及ぼします。ここでは、歯を失う主なリスクについて解説します。
噛む力が低下する
歯を失うと、噛む力が落ち、食べ物をしっかりと噛み砕けなくなります。
この影響は食事の内容や食べ方にまで及び、硬いものを避けるようになったり、栄養バランスが偏ったりすることがあります。また、しっかり噛めないことで消化に負担がかかり、胃腸の不調を引き起こす可能性もあります。
発音や会話に支障が出る
歯は、言葉を発するうえで重要な役割を担っています。特に前歯はサ行やタ行などの音を発音する際に欠かせない存在であり、歯が抜けた状態では空気の抜け方が変わり、正確な発音が難しくなることがあります。
発音が不明瞭になると、会話に対する自信がなくなり、人との交流に消極的になる傾向も見られます。また、話す際に口元を気にするあまり、表情が硬くなり、相手に与える印象にも影響を与えることがあります。歯を失うことは、発音や会話の質にも大きな影響を与えるのです。
見た目がコンプレックスになる
歯が抜けた部分は口元の印象を大きく左右します。特に前歯の場合は目立ちやすく、笑顔や会話の際に気になるようになります。その結果、人前で口元を隠す仕草が増えたり、自然な表情が出にくくなったりすることがあるのです。
こうした変化は対人関係にも影響を及ぼし、自信の低下につながる可能性があるでしょう。
周囲の歯に悪影響を及ぼす
歯が抜けたままの状態が続くと、空いたスペースへ向かって隣の歯が傾いたり、噛み合っていた反対側の歯が伸びてきたりすることがあります。
これによって特定の歯に過剰な負担がかかるようになると、健康だった歯にもひびや摩耗が生じやすくなり、トラブルの連鎖につながる可能性があるのです。
全身の健康に影響を及ぼす
歯を失うことは、口の中だけでなく全身の健康にもさまざまな悪影響を及ぼします。
まず、噛む力が弱くなると、食べ物をしっかり噛めなくなり、消化器官に負担がかかります。その結果、栄養の吸収が悪くなり、免疫力の低下につながることがあるのです。
また、歯周病の原因菌は血流を通じて全身に炎症を引き起こすとされており、糖尿病や心疾患、脳卒中などのリスクが高まることが報告されています。さらに、噛む刺激が減ることで、脳への刺激も少なくなり、認知症のリスクが高まるという指摘もあります。
歯を守ることは、口だけでなく全身の健康を守ることにもつながるのです。
歯を守るためにできること

歯の健康を維持するためには、特別なことよりも日々の習慣を丁寧に積み重ねることが重要です。基本的なケアと生活習慣の見直しにより、歯を失うリスクは大きく軽減できます。ここでは、歯を守るためにできることについて解説します。
正しいブラッシング方法を身につける
毎日の歯磨きは最も基本的な予防策です。
ただし、回数だけでなく磨き方の質が重要です。歯と歯ぐきの境目に歯ブラシの毛先を軽く当て、小刻みに動かしながら汚れを落とします。力を入れすぎると歯ぐきを傷つけるため、やさしい力加減を意識することが大切です。
また、奥歯の溝や歯の裏側は磨き残しが多くなりやすいため、意識的にブラシを当てる必要があります。さらに、歯ブラシだけでは届かない歯と歯の間は、デンタルフロスや歯間ブラシを併用することで清掃効果が高まります。
正しい方法で歯磨きを継続することが歯を守る基本となります。
歯ぎしりの癖を改善する
歯ぎしりや食いしばりは、歯に強い力がかかる習慣であり、気づかないうちに歯をすり減らしたり、ひび割れの原因になったりすることがあります。特に睡眠中は無意識に行われるため、自覚がないまま負担が蓄積しやすい点が特徴です。
対策としては、就寝時にマウスピースを装着する方法があります。これによって、歯に加わる衝撃をやわらげることができるのです。また、日中でも無意識に歯を強くかみしめていることがあるため、上下の歯を離す意識を持つことも大切です。
さらに、ストレスが関係する場合も多いため、生活リズムを整えたりリラックスできる時間を確保したりすることも予防につながります。歯に余計な力をかけない習慣づくりが重要です。
禁煙する
喫煙は歯や歯ぐきにさまざまな悪影響を与えます。
タバコに含まれる成分は血流を低下させ、歯ぐきに十分な栄養が届きにくくなります。その結果、歯周病が進行しやすくなり、治療後の回復にも時間がかかる傾向があります。また、喫煙者は歯ぐきの腫れや出血といったサインが現れにくく、異常に気づきにくい点も問題とされています。
禁煙は歯周病の進行を抑えるだけでなく、口臭の改善や全身の健康維持にもつながります。歯を守る観点からも重要な取り組みの一つです。
食生活を見直す
毎日の食事は歯の健康に大きく関わっています。甘いお菓子やジュースを頻繁に口にすると、口の中が酸性の状態になりやすく、虫歯のリスクが高まります。そのため、糖分の多い食品は量だけでなく、摂る回数にも注意が必要です。
また、食事の時間が長く続くと、歯が酸にさらされる時間も長くなるため、だらだら食べる習慣は控えましょう。
一方で、カルシウムやビタミン、たんぱく質を含む食品をバランスよく取り入れることで、歯や歯ぐきの健康維持に役立ちます。食べる内容とタイミングの両方を意識することが、歯を守る基本となります。
定期的に歯科検診を受ける
歯科検診は、歯や歯ぐきの状態を定期的に確認し、トラブルを早い段階で見つけるために重要です。虫歯や歯周病は初期では自覚しにくく、気づいた時には進行していることも少なくありません。
歯科医院では、専用の器具を使って細かい部分までチェックが行われるため、自分ではわからない異常にも気づくことができます。また、歯石や汚れの除去といったクリーニングを受けることで、口の中を清潔に保ちやすくなります。
定期的に通院することで、小さな変化にも対応しやすくなり、結果として歯を長く保つことにつながります。
まとめ

歯を失う原因には歯周病や虫歯、歯の破折などがあります。歯を失うと、噛む力の低下や発音の変化、見た目の悩みだけでなく、周囲の歯や全身の健康にも影響が広がるため、しっかりケアをして予防することが大切です。
正しいブラッシングや歯ぎしりへの対策、食生活の見直し、禁煙、そして定期的な歯科検診を継続することで、歯を失うのを防ぐことができます。
大切なのは、歯の重要性を理解し、日常生活のなかで適切なケアを続けることです。ご自身の大切な歯を守るためにも、できることからはじめましょう。
お口の健康を守りたいとお考えの方は、東京都港区「虎ノ門ヒルズ駅」より徒歩1分にある歯医者「虎ノ門ヒルズ駅前歯科」にお気軽にご相談ください。
当院は、妥協なき歯科医療を目指して幅広い治療に対応しています。虫歯・歯周病治療や精密根管治療、生体親和性、インプラント、矯正治療など、さまざまな診療を行っています。
ホームページはこちら、WEB診療予約も受け付けておりますのでぜひご覧ください。公式Instagramも更新しておりますので、ぜひチェックしてみてください。